Servicios Especializados
Ofrecemos procesamiento y diagnostico de: Biopsias, Papanicolaou, Histoquímica, Inmunohistoquímica y Biología molecular.
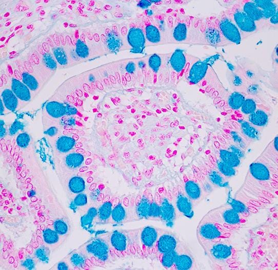
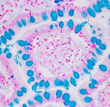
Biopsias
Realizamos biopsias para diagnóstico oportuno y personalizado, garantizando resultados confiables y rápidos.


Papanicolaou
El examen de Papanicolaou es fundamental para la detección temprana de anomalías cervicales y cáncer.
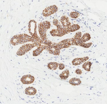
Panel para detección de VPH, infecciones de transmisión sexual, identificación de patógenos en úlceras genitales, marcadores tumorales y más técnicas de alta complejidad.
Biología Molecular


Servicios
Biopsias, Papanicolaou, Histoquímica, Inmunohistoquímica y PCR.




info@oncoaustral.cl
+56991961942
Ubicación
Descubre nuestro laboratorio de histopatología y servicios personalizados en tu área, ofreciendo diagnóstico oportuno y atención especializada.
Calle Juan Sarrat 675 A Castro
